SEOUL JINSIM PLANT
-
3D 디지털 기술과 무통 마취 기술을 접목시킨 사랑니 발치
서울진심플란트치과는 구강구조를 잘 아는 전문의가 3D 디지털 기술과 무통 마취 기술을 접목하여 고난이도 사랑니 발치까지 안 아프게 도와드립니다.

-
3D 디지털 기술을 통해 주변 신경을 고려한 발치 계획 수립
2차 병원급 3D CT를 활용하여 사랑니의 위치, 주변 치아와의 거리, 신경선 위치를 정밀하게 파악하여 안전성 높은 발치를 계획합니다.

-
붓기를 낮추기 위한 적은 절개법 발치 진행
서울진심플란트 사랑니 발치는 적은 절개법을 통해 빠른 회복, 적은 붓기, 적은 통증으로 발치를 도와드립니다.

-
무통 마취 시스템으로 아프지 않은 발치 노하우
체어별로 설치되어 있는 무통마취기로 마취부터 안 아픈 발치를 도와드립니다. 치과 공포증이 있어도 걱정 없는 발치가 가능합니다.

-
약사면허가 있는 대표원장이 빠른 회복을 위한 약 처방
약사 라이센스가 있는 대표원장이 발치 후 빠른 회복을 위한 약을 선별하여 발치 이후 관리까지 안심하실 수 있도록 도와드립니다.
실제 사례로 보는 사랑니 종류
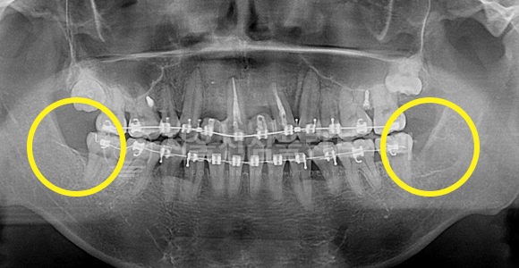
바르게 맹출된 사랑니 발치 + 매복 사랑니 발치
-
BEFORE
-
AFTER
사랑니가 바르고 정상적으로 맹출 되어도 구강 관리가 어려워 충치 이환도가 높아짐으로 예방적으로 발치하는 것을 추천해 드립니다.
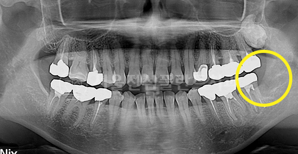
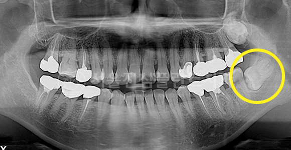
고난이도 매복 사랑니 발치
-
BEFORE
-
AFTER
하악 신경관에 근접한 고난이도 사랑니도 안전하게 발치합니다.
멀리 가지 않아도 우리 집 앞에서 대학병원급의 사랑니 발치 진료를 보여드립니다.
-
복잡한 사랑니 때문에 걱정이신가요? 서울진심플란트에서 해결해드릴게요!
-
매복 사랑니 발치는 잇몸 속에 매복되어 있고 신경과 가까이 있습니다. 신경 혹은 인접 치아를 손상시킬 위험이 있기 때문에 사랑니 발치 과정에 실력이 필요합니다. 서울진심플란트치과에서는 어려운 케이스도 안전성 높게 발치해드립니다.

