SEOUL JINSIM PLANT
-
서울진심플란트치과의 자연스럽고 조화로운 심미치료
심미치료는 무조건적으로 하얗고 예쁨이 아닌 개인에 맞게 자연스럽고 조화로워야 합니다.

-
환자의 특징을 파악한 조화로운 디자인을 추구합니다.
개인이 가진 피부 톤, 얼굴 생김새 등을 생각한 디자인, 그리고 기능적인 면을 조화롭게 고려하여 치료합니다.
SEOUL JINSIM PLANT
심미치료 종류 & 실제 사례
-
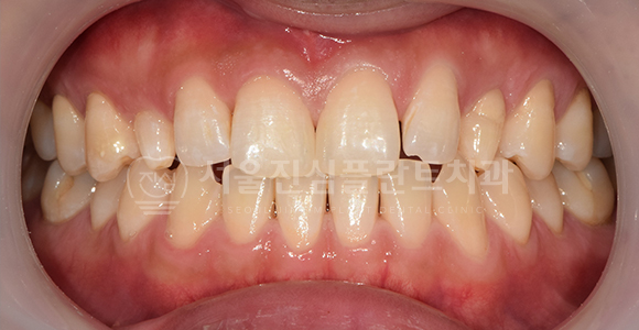
BEFORE
-
AFTER
내 치아처럼 자연스러운 라미네이트
치아면에 충치나 외상이 없는 경우에서도 심미적인 이유로 인해서 심미보철을 원하는 경우도 있습니다. 치아의 겉면만을 살짝 0.5-0.7mm 정도 다듬어 얇게 삭제한 후, 마치 인조손톱과 비슷한 느낌의 도자기로 된 얇은 보철물을 치아 겉면에 붙여서 형태를 수복하는 시술방법입니다.
-
BEFORE
-
AFTER
빠르게 인상을 바꿔주는 잇몸성형
잇몸이 비정상적으로 부어 치아를 덮어 치아가 짧아 보이거나, 비대칭적인 모양으로 비 심미적인 경우, 색소침착으로 인해 잇몸이 검붉게 변해 있는 경우 잇몸을 적절히 다듬어 더욱 균형감있고 아름다운 미소를 만들어 드리는 치료입니다.
-
BEFORE
-
AFTER
밝고 환한 미소 치아미백
칫솔질이나 스케일링으로 해결되지 않는 치아의 색을 특수광선을 이용하여 미백제를 도포한 뒤 청색 파장광선으로 조사하여 본연의 치아색을 더 맑고 밝게 회복하는 미백치료입니다.
-
BEFORE
-
AFTER
다시 태어나도 아름다운 앞니 재보철
앞니는 어금니와 다르게 더 많이 드러나 보이기 때문에 심미치료가 무엇보다 중요합니다. 잇몸 변색, 잇몸 질환 등으로 앞니가 손상된 경우 앞니 재보철 치료로 심미성과 기능성을 회복할 수 있습니다.
SEOUL JINSIM PLANT
서울진심플란트 심미치료의 비결
-
섬세한 심미안으로 환자에게 어울리는 맞춤 보철 디자인
-
심미보철로 유명한 베테랑 기공소 협진
-
숙련된 노하우와 디자인 감각을 지닌 전문의의 1:1 맞춤진료
-
자연치아 보존 진료 바탕으로 적은 치아 삭제량
-
#자연치아 같은 치아
-
#베테랑 기공소 협진
-
#정밀 디자인
-
#빠른 수정
-
사람의 첫인상, 자연스러운 미소가 결정합니다.
개인에 어울리는 조화로운 디자인으로 자연스러운 미소를 완성해드릴게요.
-

